Several aspirates were taken from a unilateral submandibular swelling in a 4-year-old, male entire Labrador.
Fig 1. Large clumps of pale blue-grey mucoid material are present, consistent with saliva. This is interspersed with moderate numbers of foamy macrophages.
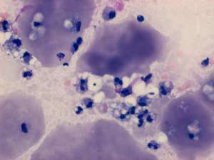
Fig 2. Chronic haemorrhage is a common finding, characterised in this figure by haematoidin (golden yellow pigment) and haemosiderin (green-blue pigment).
Final Diagnosis
Sialocoele
Discussion
This is the typical cell picture associated with a salivary mucocoele (sialocoele).
I have been using the services of Cytopath for the last 10 years and wouldn’t hesitate to recommend their detailed and efficient reporting. They are always helpful, friendly and happy to discuss cases. Their speed of reporting urgent results is second to none and they never fail to deliver. Thank you team Cytopath for providing such a top notch service to us!
Kirsty RoeBVSc CertSAM DipACVIM DipECVIM-CA MRCVSWillows Veterinary Centre and Referral Service, Shirley, West Midlands